4/127, Bank Colony, Bagh Farzana Agra-208002 (U. P.)

  • Opening Time
  • Monday - Saturday:09:00 ΑΜ.Το 06.00 РМ.
  • Sunday: By Appointment Only
  • Phone No.
  • +91 98971 03507
  • Dr. Gulshan Singh
    18 YEARS OF
    EXPERIENCE
    About Dr. Gulshan Singh

    Your Trusted Oral Health Specialist

    Precision Diagnosis & Comprehensive Care

    BDS, MDS Oral & Maxillofacial Pathologist

    Dr. Gulshan Singh (BDS, MDS Oral & Maxillofacial Pathologist) is a highly experienced dental professional with over **18 years of dedicated clinical practice** in Civil Lines, Agra. With a strong academic foundation and specialized training, Dr. Singh excels in delivering accurate diagnoses and effective treatment plans for a wide range of oral conditions.

    His specialization in Oral & Maxillofacial Pathology provides a unique depth of understanding in identifying and managing complex diseases of the mouth, jaws, and face. Dr. Singh is committed to providing **patient-centered care**, ensuring comfort, clarity, and personalized solutions for every individual.

    Book an Appointment+91-98971 03507
    0 +

    Years Of Experience

    0

    Top Ratings

    0 +

    Happy Patients

    0 +

    Specialized Services

    Our Expertise

    Comprehensive Dental Services

    Root Canal Treatment

    Root Canal Treatment (RCT)

    Root Canal Treatment (RCT)

    Expert care to relieve pain and save natural teeth through precise endodontic therapy.
    Dental Implants

    Dental Implants

    Dental Implants

    Permanent, natural-looking tooth replacement solutions for missing teeth.
    Dental Veneers

    Dental Veneers

    Dental Veneers

    Aesthetic correction using custom-made shells for discolored, chipped, or misaligned teeth.
    Pediatric Dentistry

    Pediatric Dentistry

    Pediatric Dentistry

    Preventive and curative dental care tailored for children, ensuring early oral health.
    Geriatric Dentistry

    Geriatric Dentistry

    Geriatric Dentistry

    Specialized dental solutions for elderly patients, addressing age-related oral health issues.
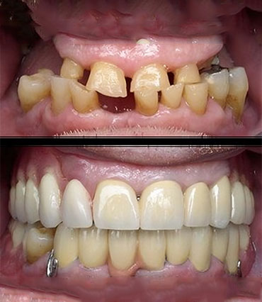
    Full Mouth Rehabilitation

    Full Mouth Rehabilitation

    Full Mouth Rehabilitation

    Comprehensive treatment plans to restore function, aesthetics, and oral health.
    Welcome to Our Clinic

    Dr. Gulshan's Dental Clinic

    Committed to excellence in oral health, Dr. Gulshan's Dental Clinic provides advanced diagnostic and treatment services with a patient-centered approach.
    Founded on the principles of ethical practice and comprehensive care, Dr. Gulshan Singh brings over 18 years of experience in Oral & Maxillofacial Pathology to Civil Lines, Agra. His expertise ensures accurate diagnosis and effective management of even the most complex oral conditions.
    Dr. Gulshan Singh
    Testimonials

    What Patients Say
    About Dr. Gulshan's Clinic

    Ready for a Healthier, More Confident Smile?

    Book Your Appointment with Dr. Gulshan Singh Today

    At **Dr. Gulshan's Dental Clinic**, your oral health is our priority. Led by Dr. Gulshan Singh, a highly experienced Oral & Maxillofacial Pathologist with over **18 years of dedicated clinical practice**, we provide precise diagnostics and comprehensive treatments in a comfortable and hygienic environment.
    From root canal treatments and dental implants to specialized oral pathology care, Dr. Gulshan Singh is committed to delivering exceptional results and ensuring your comfort at every step.
    Book an Appointment!
    Dr. Gulshan Singh Clinic Video Placeholder
    Get in Touch

    Book an Appointment with Dr. Gulshan